矯正歯科治療で素敵な笑顔を
矯正歯科治療では、綺麗な美しい歯並びを作り、口元の美しさを引き立てる治療を行います。
「歯並びがガタガタで、口をあけて思いきり笑えない……」
こんなお悩みをお持ちではありませんか?
口元のコンプレックスはストレスを生み、肉体面だけでなく精神面にも悪影響を及ぼします。矯正治療を受けることでコンプレックスを払拭し、明るい笑顔を取り戻しましょう。
矯正歯科では歯並びや咬み合わせを改善します。特に咬み合わせはそのままにしておいても自然に正しくなることはなく、様々な悪影響を及ぼします。ブラッシングしづらくなることにより虫歯や歯周病になりやすくなり、顎の骨に余計な力が加わり頭痛や肩こり、腰痛、さらには顎関節症を引き起こすこともあります。
矯正治療を受けて歯並びと咬み合わせを整え、快適な生活を手に入れましょう。
歯並びが悪いといけないの?
歯ならびが悪いと、、、
・ 虫歯や歯槽膿漏になりやすい。良く噛めない。(そのため、胃腸障害が起こる)
・ あごの成長、顔かたちにも影響する。口もとが気になる(コンプレックス)、発音しにくいなど
・ 頭痛や肩こり、腰痛、さらには顎関節症を引き起こすこともあります。
肉体の健康面はもとより、精神面も含め、思った以上に多大で、様々な障害が引き起こされてしまいます。
子供の矯正(小児矯正)と大人の矯正(成人矯正)

お子様の健康な歯の成長のために!
小児矯正を始めるメリット
子どものうちに矯正治療を始めるメリットとして、永久歯に生え変わる歯の成長や顎の骨の成長を利用しながら治療を進められるので、比較的治療期間が短く、高い治療効果が期待できます。
また、無理なく治療を行えるため、痛みも少なく済みます。
受け口のお子様も歯と顎の骨の成長期に正しい成長を促し矯正することで、美しい口元、歯並び、咬み合わせを得ることができます。
また、早期に歯並びを矯正し改善することによって、歯と歯の間に食べかすがたまらなくなり、虫歯や歯周病のリスクを少なくすることができます。
さらには、精神的な一面で、受け口・出っ歯・すきっ歯など見た目のコンプレックスが減少し、自然と口を開けて笑ったり会話したりすることができるようになって欲しいと望みます。
大人になってからでも矯正治療は間に合います!
成人矯正を始めるメリット
大人になってから就職活動や婚活、ウェディング、そして接客業や営業職など仕事上の理由から矯正治療をしたいと思う方はとても多いです。。
大人になってからの矯正は、小児矯正のように成長に合わせてということはできませんが、矯正歯科は大人になってからでも十分間に合う治療です。
また、治療計画が立てやすい、治療を継続しておこないやすい、選択肢は自身で選択判断できるなど、大人の矯正ならではのメリットもあります。
矯正治療の始まるまで
- 1. 初診 (相談)
- 治療のあらましの説明
- 2. 精密検査(検査結果の説明)
- レントゲン写真、歯の型、歯や顔の写真撮影
- 3. 精密検査(検査結果の説明)
- 治療方法、装置、期間、費用の説明
- 4. 治療開始
- 説明を理解していただいた後に治療を開始します。
矯正装置の説明
矯正装置には様々な種類のものがあり、まず従来の矯正治療で使われている、金属で出来たブラケット、金属よりも目立ちにくい透明のブラケットもあります。歯の裏側からつけるものや、マウスピースタイプもあります。
| 取り外しのできる装置 | 固定装置 | |
| 金属 | ![]() |
![]() |
| セラミック | ![]() |
![]() |
矯正歯科の症例
患者さんの口の中の状態によって、さまざまな矯正治療が行われています。
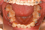
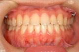
| 症例1 |
【叢生症例】八重歯と前歯のデコボコを気にされて来院されました。 【治療前】
【治療中】デコボコを改善しているところです。
【治療後】
|
|||||||||||||||||||||||||||
| 症例2 |
【反対咬合症例】うけ口を気にされて来院されました。上下表側の装置で治療を行いました。 【治療前】
【治療中】ワイヤーを用いてうけ口の改善を行っています。
【治療後】
|
|||||||||||||||||||||||||||
| 症例3 |
【上顎前突症例】出歯を気にして来院されました。 【治療前】
【治療中】
【治療後】出歯が改善したため、口元の突出が改善しました。
|
|||||||||||||||||||||||||||
| 症例4 |
【開咬症例】前歯で噛み切れないことを気にされて来院されました。(15才・女性) 【治療前】
【治療中】
【治療後】
|
|||||||||||||||||||||||||||
| 症例5 |
【上下顎前突症例】口元の突出を気にされて来院されました。(21才・女性) 【治療前】
【治療中】
【治療後】
|
|||||||||||||||||||||||||||
| 症例6 |
【上が裏側、下が表側の症例】口元の突出を気にされて来院されました。 【治療前】
【治療中】
【治療後】
|
|||||||||||||||||||||||||||
| 症例7 |
【上下裏側の症例】前歯のデコボコと上下前歯の中心位置の不一致を気にされて来院されました。 【治療前】
【治療中】
【治療後】
|
|||||||||||||||||||||||||||
| 症例8 |
【切端咬合症例】前歯の咬み合わせと下の歯の隙間を気にして来院。(27歳・女性) 【治療前】
【治療後】
|
|||||||||||||||||||||||||||
| 症例9 |
【 虫歯で抜歯した歯の隙間を、矯正治療で閉鎖した症例 】右上奥歯を虫歯で抜歯した。 【治療前】
【治療中】
【治療後】
|














































































































