典型的なインプラント治療の症例15
50代 男性
治療前


下顎、上顎のそれぞれ欠損している歯があり、インプラント治療を希望されました。
治療中


欠損していた部位に一本ずつインプラントを埋入します。
治療後


全部で五本のインプラントが埋入されました。
典型的なインプラント治療の症例14
20代 女性
治療前

かぶせ物がとれてしまったと来院された方です。
かぶせ物の下で虫歯が広がり、抜歯となってしまいました。
治療中

口腔内の状態から抜歯と同時にインプラントの埋入手術をおこなうことができました。骨とインプラントが完全に接合するまでしばらく待ちます。
治療後


冠を装着した状態です。
前後の歯と比べても自然に仕上がりました。
典型的なインプラント治療の症例13
40代 男性
治療前


右下の歯肉が腫れたと来院された方です。
検査の結果、歯根が折れてしまっていることがわかり、抜歯となりました。
治療後



骨の状態のよいところへ2本のインプラントを埋入し、3本のブリッジになっています。
典型的なインプラント治療の症例12
40代 女性
治療前

ブリッジが外れてしまったと来院された方です。
ブリッジの土台になっていた歯の状態が悪く、抜歯となり、元々欠損していた部分と併せて2本のインプラントを埋入していくことになりました。
治療中

口腔内の状態から判断し、抜歯とインプラントの埋入手術を同時に行いました。
治療後


インプラントにセラミックの冠を装着した状態です。見た目にも自然ですが、ブリッジのように他の歯へ負担かかることなく、自分の歯のように咀嚼ができます。
典型的なインプラント治療の症例11
65歳 男性
治療前

下顎の歯肉が腫れているとのことで来院された患者様です。
奥歯がほとんどなく、歯根しか残っていない歯もあり、このままでは奥歯でしっかりと噛むことが出来ません。
治療後


残っていた歯根を抜き、左右の奥歯に2本ずつインプラントを埋入しました。
典型的なインプラント治療の症例10
50代 男性
治療前



物が噛めないということで来院された方です。
虫歯と歯周病が進み、上顎下顎ともに全体的な治療が必要です。骨の状態や患者様のご希望から、上顎はインプラント義歯として4本のインプラントを、下顎には固定式の4本のインプラントを埋入することになりました。
治療後



上顎

下顎
虫歯の治療、歯周病の治療をし、全ての歯の治療がおわりました。
上顎はインプラント義歯、下顎は固定式の冠を装着したインプラントです。
典型的なインプラント治療の症例9
50代 男性
治療前


抜いたところに歯をいれたいと来院された方です。
抜歯後数年間放置してしまったそうですが、食事のしにくさからインプラント治療を希望されました。
治療中


歯のなかった三カ所それぞれ一本ずつインプラントを埋入します。
埋入後、個人差はありますがだいたい2~3ヶ月ほど治癒を待ち、最終的な土台をたてたところへ冠を装着します。
治療後


隙間の空いてしまっていた三カ所全てにインプラントが埋入されました。
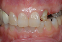
典型的なインプラント治療の症例8
70代 女性
治療前

奥歯のブリッジがとれてしまったと来院された方です。
歯根も虫歯になってしまっていたために、抜歯ののちインプラント治療をご希望されました。
奥歯4本のうち手前に3本のインプラントを埋入することになりました。
治療中


インプラントが骨と接合した後に、仮歯で噛み合わせを確認します。
治療後

最終的な冠を装着しました。
向かって右側の奥3本がインプラントです。
典型的なインプラント治療の症例7
60代 男性
治療前

上顎の抜歯後にインプラントを希望された患者様です。
治療中

骨の調整も行いながら、慎重にインプラントを埋入していきます。
治療後


噛み合わせに重要な位置の歯ですが、しっかりと噛み合っていることがわかります。
後日下顎のインプラント手術も行い、自分の歯があった頃のような咀嚼機能が回復されました。
インプラント治療の症例(前歯多数欠損3)
50代 女性
治療前

前歯へのインプラントを希望された方です。
歯を抜いたあとにへこみが残ってしまっています。
治療中


歯肉の移植等も行ってから二本のインプラントを埋入しました。
治療後


レントゲンからも二本のインプラントがしっかりと埋入されていることがわかります。
インプラント治療の症例(下顎)
45歳 女性
治療前


上顎、下顎ともに総義歯を使われている方です。
今回は下顎へインプラントの埋入を希望されました。

骨の状態や噛み合わせを確認し、6本のインプラントを埋入しました。
治療後


上顎は総義歯、下顎がインプラントです。
インプラント治療の症例(インプラント義歯)
55歳 女性
治療前

上顎、下顎ともにほとんど歯がのこっていません。
一般的な義歯を使っていましたが、固定されないため安定感がなく、会話や食事もしづらいようです。
治療中


下顎に残っていた歯を抜歯し、インプラント義歯の土台となるインプラントを四本埋入しました。

傷が治ったところで義歯を固定するためのパーツを装着していきます。
治療後

下顎の義歯がインプラント義歯です。


一見普通の総義歯のようですが、裏側に固定用の器具がついています。土台が装着されているため簡単に外れることがなく、また通常の総義歯よりも小型化され、違和感も少なくなります。
インプラント治療の症例(インプラント義歯2)
71歳 男性
治療前


上顎、下顎とも部分義歯をつかっていましたが、状態の悪い歯も多く、義歯の安定感も失われてきました。
治療中


上顎で状態の悪い歯は抜歯をし、下顎に残っている歯には義歯を固定するための器具を装着しました。


上顎へインプラントを埋入します。同時に骨の薄い箇所へは骨の移植も行います。

傷が治ったところで、インプラントの上部にも義歯を固定するための器具を装着します。

上顎、下顎ともに義歯を装着した状態です。義歯と併用することにより、少ないインプラント本数で補綴修復が可能となりました。
インプラント治療の症例(歯科矯正併用)
30歳 女性
治療前

前歯に2歯欠損があり、隙間が開いてしまっています。
矯正治療中


理想的な歯列を計算し、矯正治療によって歯を動かしていきます。その後、インプラントを埋入するスペースがうまれ、そのほかの部分も綺麗な歯列になりました。
治療中

開いたスペースへインプラントを二本埋入します。

仮歯をいれ、全体のバランスを見ます。
治療後


最後は矯正器具をはずし、最終的な被せ物を装着すると、レントゲンからはインプラントとわかりますが、天然の歯と比べても差異がほとんど見られません。
インプラント治療の症例(上顎)
60歳 男性
治療前

上あごの歯がほとんどありません。普段は入れ歯を使っていますが、残った歯への負担も大きいようです。
治療中

歯のない部分にインプラントを埋入しました。
残っていた状態の悪い歯も抜歯をし、順次インプラントに置き換えます。
治療後

最終的に上あごには8本のインプラントを埋入しました。
前歯を近くから見ても天然の歯のような自然な仕上がりです。
インプラント治療の症例(上顎2)
50代 女性
治療前

上顎の歯がほとんどありません。今まで義歯を使っていましたが、安定が悪かったために
インプラントを希望されました。
治療中

骨の状態、かみ合わせのバランスを考え7本のインプラントを埋入しました。

傷の治癒を待ち、骨とインプラントが安定したところで仮歯を装着します。
治療後


最終的な被せ物が装着された状態です。義歯にはなかった安定感が得られ、天然の歯のようになりました。
インプラント治療の症例(前歯多数欠損)
27歳 女性
治療前


一見綺麗に並んだ前歯のようですが、被せてある歯の色がバラバラになってしまっています。
歯根の状態もあまりよくありません。
治療中


前歯三本を抜歯し、二本のインプラントを埋入しました。

しばらくは仮の歯で骨や歯肉の治癒を待ちますが、歯茎が自然なかたちに回復するよう慎重に経過をみます。
治療後


治療前と比べると、気になっていた周囲の歯との差がほとんどありません。
すべて天然の歯のように見えますが、レントゲンを見ると二本のインプラントが埋まっているのがわかります。
インプラント治療の症例(前歯多数欠損2)
40代 女性


前歯に四歯欠損があります。以前、奥歯にインプラント治療をされた方ですが、前歯にもインプラント治療をご希望されました。

二本のインプラントを埋入しました。

インプラント用の土台を装着します。

最終的に四本の被せものが装着されました。
歯の色や形、そして歯茎の形も自然に仕上がりました。
典型的なインプラント治療の症例1
35歳 男性
治療前

前歯が一本欠損してしまっています。
インプラント治療をうけたいとのことですが、隣の歯との差異も気になります。
治療中

インプラントの手術時に、骨の移植や歯肉の移植などもあわせておこない、歯としての機能だけでなく
見た目の美しさも追求していきます。
治療後

隣の歯も被せものをして治療しましたが、左右対象で自然な歯並びが実現できました。
典型的なインプラント治療の症例2
36歳 女性
治療前

左上の犬歯が折れてしまっています。
治療中

残っていた歯根を抜き、骨の移植をした後にインプラントを埋入しました。
治療後

セラミックを被せてありますが、天然歯と見分けがつかないほど綺麗なしあがりです。
典型的なインプラント治療の症例3
32歳 女性
治療前

前歯の被せ物が取れてしまっています。歯根しか残っておらず、状態もよくありません。
また、前後の歯の被せ物が色、形ともに天然の歯に比べ不自然です。
治療中


この症例は、歯を抜いて即時にインプラントを埋入しました。

同時に隣接する歯の冠も新しくします。
治療後

以前に比べ左右対称で自然な歯列になりました。
どの歯にインプラントが入っているかわからないくらいです。
典型的なインプラント治療の症例4
30代 男性
治療前

差し歯がとれてしまった、と来院された方です。
根の状態が悪いため抜歯になり、インプラント治療を希望されました。
治療中

抜歯後、傷の治りを待ち、インプラント手術を行いました。
同時に骨移植を行い、骨の補強をはかります。

術後の経過は良好です。
オールセラミックの冠を希望されたため、土台にも白い素材を選択しました。
治療後

冠を装着した状態です。
左右のバランス、歯の透明感も、まるで天然の歯のような仕上がりです。
典型的なインプラント治療の症例5
50代 男性
治療前

全体的に歯茎や歯を支える骨が下がり、歯根が露出してしまっています。
今の状態では歯がぐらぐらしてしまい、ものを噛むことができません。
治療中


抜歯をし、骨の状態のよいところへ、上顎に9本、下顎に7本のインプラントを埋入しました。


最終的な冠がこちらです。
審美的な面を考慮し、歯肉もついたものになりました。
治療後

冠が入った状態です。歯の長さや形態に違和感がありません。
典型的なインプラント治療の症例6
50代 女性
治療前

歯根しか残っていない歯などもあり、右側ではほとんど噛むことができません。
治療中

状態の悪い歯を抜歯し、骨の状態などの精密検査をします。
口腔内の状態や、患者様のご希望を加味し、今回は歯を抜いて隙間が空いてしまったスペースへ二本のインプラントを埋入することになりました。
治療後


最終的な冠が装着された状態です。左右でしっかりと噛むことができるようになりました。
ケース1

ケース2



